全方位醫療
專科醫師團隊
03-3112245
桃園市蘆竹區福祿一街78號
gokyo.dental@gmail.com
電話預約
線上預約
診所起源
醫療團隊
醫療項目
顯微根管治療
顯微活髓治療
4D高階微創植牙
隱形美齒矯正
自鎖式系統齒顎矯正
一日全瓷美學
水雷射牙周治療
植牙周圍炎骨再生
MRC早期矯正治療
兒童牙科
設備環境
案例分享
最新消息
聯絡我們
線上預約
診所起源
醫療團隊
醫療項目
+
–
顯微根管治療
顯微活髓治療
4D高階微創植牙
隱形美齒矯正
自鎖式系統齒顎矯正
一日全瓷美學
水雷射牙周治療
植牙周圍炎骨再生
MRC早期矯正治療
兒童牙科
設備環境
案例分享
最新消息
聯絡我們
線上預約
缺牙一定要植牙或做牙橋嗎?
首頁
/
案例分享
/
缺牙一定要植牙或做牙橋嗎?
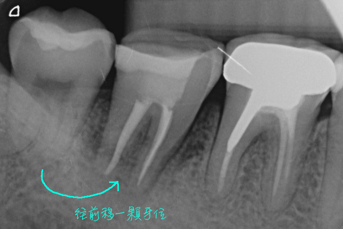
本案例的臼齒因為斷裂而必須拔除,我們把後方的智齒往前搬家,直接取代壞掉的牙齒,等到傷口癒合好後又可以正常咀嚼食物了。
分享到
關閉